Humans are made up of trillions of cells. Within most cells there is a nucleus where your genetic information resides and provides instructions for growth and development of those cells within the body.

Are chromosomes, genes, and DNA the same thing?
are structures that contain all of our , encompassing all of the genetic material including all of the genes and all of the areas between the genes involved with controlling how those genes are turned on and off (and bits of DNA that we don’t completely understand as well). Within the DNA are genes, individual segments of DNA that "spell out" how to make all the different proteins (building blocks) that make up all of our parts. , therefore, are the basic units of . Chromosomes and genes can be thought of similar to a beaded necklace. The string represents the chromosome, and the beads represent the genes strung along the chromosome. Chromosomes and genes both contain genetic material, but they are not the same.
In humans, we have genes as small as a few and genes as large as 2 million base pairs. Overall, the human is comprised of close to 30,000 genes.
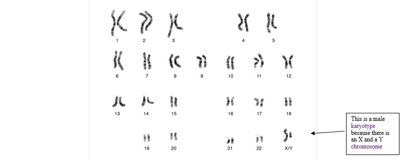
Humans have 23 pairs of chromosomes (46 in total; 23 chromosomes and 23 chromosomes). They come in pairs because we inherit one set from each of our parents. The last set of chromosomes is referred to as the because they determine whether you are biologically a male vs female. Chromosomes and genes cannot be seen with the naked eye, but under special microscopes chromosomes look like spaghetti noodles floating around the . The genes located on each chromosome are specific. For instance, the hemoglobin-beta gene is always found in a very specific place on chromosome 11.

Genes serve as blueprints for our body. They do not do much of the ‘work’ first-hand in the body, but they provide the instructions for making proteins and other elements needed for humans to function and survive. Most observable characteristics or traits (our ) are shaped by the action of genes through the combination of , versions of our genes, parents pass down (our ).
Inside each gene there are a set of important instructions. This set of instructions is your genetic code. Your genetic code consists of an arrangement of four abbreviated as four letters: A, T, C, and G. These four letters are arranged in groups of 3 to “spell” out different instructions required to make very specific proteins that have a specific ‘job’ to do in the body. Cells read these blueprints like we read a book or a webpage.
As an example, the genetic code within the GP1BA, GP1BB and GP9 genes make a protein complex called glycoprotein (GP) Ib-IX found on the surface of platelets that plays an important role in helping platelets “hold hands” and stick together, helping to form blood clots. If there is a spelling change in the code (for example one of the Ts is switched to an A in just the right place in one of the genes), the protein may be made incorrectly or not at all. If one of these proteins are missing or abnormal, platelets cannot “hold hands” the way they should and don’t work well to plug up holes in blood vessels when bleeding starts. The result is abnormal bleeding, and a low platelet count in a particular type of inherited platelet disorder called Bernard Soulier Syndrome. Most spelling changes that occur (or “variants”) are silent and don’t cause any changes in the proteins at all. Only rarely does a spelling change alter how the protein works or cause it to not be made at all – and this type of variant, a “pathologic variant,” results in genetic disorders.
How can genes cause disease?
Genes provide codes not only for growth and development, but also for what illnesses we may develop. That is because sometimes our genes contain (also called ) that may predispose to certain health concerns.
A variant (or mutation) is an alteration in the sequence of a molecule and the primary cause of diversity among all living things. Some mutations may cause disease, others may provide a beneficial advantage, and some mutations are neutral and do not have any affect. Neutral mutations, also called , contribute to the natural variation in living things.
Where do we get our DNA from?
Our is created when a sperm cell unites with an egg. This is called fertilization. Sperm and eggs only contain one pair of all 23 chromosomes. They are referred to as . When they come together during fertilization, the sperm cell and egg share their genetic material and become a cell that is called a . A zygote is simply a fertilized egg. Diploid means the fertilized egg has 23 pairs of chromosomes, essential for human development. The fertilized egg will continue to divide into multiple cells that will go on to form an .

Chromosomes - are the structures that contain our DNA.
DNA – Stands for Deoxyribonucleic Acid. DNA is one of two forms of nucleic acid that can be found on chromosomes within our cells. DNA is the genetic material for all cellular life forms (organisms that are made from more than one cell) and many viruses.
Genes – A segment of DNA def ined as a unit of heredity.
Heredity – The study of measurable changes that can be pass on to future generations.
Base pairs – two nucleotides chemically bound together on opposite complementary DNA or RNA strands.
Genome – An individual’s complete set of genetic material.
Maternal – pertains to the mother, or the mother’s family.
Paternal – pertains to the father, or the father’s family.
Sex chromosomes – The last set of chromosomes. There are two types, X chromosomes and a Y chromosome.
Nucleus – a specialized structure (known as an organelle) within a cell where DNA, chromosomes, and genes reside.
Phenotype – The observable characteristics or physical traits based on the genotype.
Alleles – The version of each gene that a biological parent passes down to their child at conception.
Genotype – Refers to the set of specific alleles carried.
Nucleotides – The building blocks for both DNA and RNA.
Variant – This is the same as a mutation, however, since changes in the nucleotide sequence do not always cause disease, the term ‘variant’ is more of an accepted term to use in medicine.
Mutation – An alteration in the nucleotide sequence of a DNA molecule and the primary cause of diversity among all living things. Mutations can also occur in RNA (such as with viruses). Some mutations may cause disease, others may provide a beneficial advantage, and some mutations are neutral and do not have any affect. Neutral mutations contribute to the natural variation in living things.
Polymorphism – Neutral (benign) variants that are more common in specific populations or locations around the world. They are seen in at a frequency of 1% or greater.
Haploid – Games are ‘haploid’ meaning they only contain one copy of each chromosome.
Diploid – A zygote is ‘diploid’ meaning the cell (and all cells arising from it) have two copies of each chromosome, one from each biological parent.
Zygote – The union between a sperm and egg create an embryo, a single cell that had two sets of chromosomes (one from each gamete) and will generate all the cells required to create the living being. The zygote divides continually creating a group of cells in which some will become the embryo and others will become the placenta.
Embryo – early development of life. A group of cells made from a zygote is often referred to as an embryo once organs and critical structures are forming needed for life.



